Abstract
Parkinson’s disease (PD) is a complex neurodegenerative disease that involves many interlinking pathways and genetic elements that remain to be fully understood and characterised. Non-coding genetic elements have long been overlooked, however recent advancements in the field have highlighted their importance with an area of interest being transposable elements. SINE-VNTR-Alu (SVA) elements are the youngest and smallest subset of retrotransposons that are only found within hominid species. SVAs have been shown to have strong regulatory impacts within our genome and can affect progression of neurodegenerative disease such as PD. Previous studies identified an SVA, polymorphic for its presence/absence, that was associated with changes in gene expression at the MAPT locus. This particular SVA is located within a long non-coding RNA (lncRNA) and is known as SVA_67. Here, we evaluated the SVA67-lncRNA effects on gene expression within the MAPT locus, a region associated with several neurodegenerative diseases in the SH-SY5Y cell line. The expression of SVA67-lncRNA in the SH-SY5Y cell line was associated with differential expression of several genes at the MAPT locus including MAPT, KANSL1, ARL17A/B, LRRC37A/2, and NSF. This study provides the first analysis of this SVA67-lncRNA and potential evidence for its involvement in complex diseases, such as PD.
Impact statement
This work shows that the novel SVA67-lncRNA has regulatory function within a Parkinson’s disease associated locus and affects expression of genes previously shown to be linked to the same disease progression. This project also exposes a potential link between this SVA67-lncRNA and Parkinson’s disease progression when comparing results with other GWAS studies. The results of this study encourage future studies to incorporate functional assays to assess the effects on pathophysiological pathways. With the aetiology and genetics of Parkinson’s disease not fully understood, this study provides further information into the missing heritability.
Introduction
Neurodegenerative diseases are the leading source of disability in the world, with Parkinson’s disease (PD) increasing the most in number of individuals affected [1, 2]. PD is a progressive neurodegenerative disorder caused by a complex interplay of genetic and environmental factors, which raises the difficulty in fully understanding the aetiology of PD. The current pathological hallmarks of PD include the degeneration of dopaminergic neurons in the substantia nigra and the formation of Lewy bodies through the misfolding and accumulation of alpha-synuclein (α-syn) [3]. Currently, there are three major interconnected pathophysiological pathways that are disrupted and hold a relationship with α-syn in the pathogenesis of PD. This includes disrupted function of the autophagy-lysosome, mitochondrial and vesicular pathway [4–6]. PD can be categorised into either familial PD, accounting for 15% of all PD patients, and sporadic PD where there is no family history of PD, accounting for the remaining 85% of patients [7]. There is great difficulty in understanding the genetic makeup of a sporadic PD case as there are currently over 200 PD-related genes that have been identified [8]. There are also many gene-gene interactions that can occur which further raises the complexity of this disease [9, 10].
There have been several large-scale genome-wide association studies (GWAS) identifying PD-associated risk signals [11, 12]. Nalls at al [11]. identified 90 PD-associated risk signals across the genome in a European population. Even though this study was the largest study at the time doubling the number of known PD risk variants, it still only explained 16–36% of heritable risk of PD. Most recently, a study by Kim et al. [12] expanded on this previous study by including individuals of European, East Asian, Latin American, and African ancestry identifying 78 independent genome-wide significant loci, which included 12 potentially novel loci. With the amount of genetic risk variants identified and the potential of large numbers of common genetic variants required to contribute to the risk of developing PD, known as polygenic inheritance, it becomes increasingly important to investigate the remaining large proportion of contributing genetic factors. One area that needs attention involves non-coding areas of the genome such as long non-coding RNAs (lncRNAs) and transposable elements (TEs).
Approximately 45% of the human genome is comprised of TEs [13]. They can be classified into either transposons or retrotransposons depending on their mechanism of movement. Only a few subsets of the latter remain active within the human genome today, that being the long interspersed nuclear element-1s (LINE-1), Alu, and SINE-VNTR-Alus (SVAs). These elements use a “copy and paste” mechanism to mobilise within the human genome creating new insertions and generating genetic diversity. SVAs are the both the youngest and least understood subset of active retrotransposons in which are only found within hominid species [14]. A study by Pfaff et al. [15] identified a retrotransposon insertion polymorphism (RIP) identified as SVA_67. Through bioinformatic and functional studies, SVA_67 has strong regulatory effects and can alter the expression of several genes within the MAPT locus, a locus that has been strongly associated with PD [16, 17]. The MAPT locus comprises two major haplotypes, H1 and H2. The H2 haplotype is defined by a large inversion polymorphism and notably lacks the SVA_67 element, which is present in the H1 haplotype [16]. The major haplotype, H1, has been genetically associated with increased risk for multiple neurodegenerative disorders, including PD [11, 18]. An SVA_67 insertion polymorphism has been identified within a lncRNA (GenBank reference BC011194), termed SVA67-lncRNA. The focus of this study is to provide preliminary evidence of transcriptional regulation potentially caused by this SVA67-lncRNA, acknowledging the need for future in vivo functional validation.
Materials and methods
Introduction of SVA67-lncRNA in SH-SY5Y cell line
The SVA67-lncRNA containing plasmid was grown and isolated using Escherichia coli (E. coli) bacteria and a Midiprep Plasmid kit (Thermo Fisher) according to manufacturer’s instructions. The plasmid contained an engineered pCMV_SPORT6 plasmid backbone and the SVA67-lncRNA template (Horizon Discovery, IMAGE clone 4151959, GenBank reference BC011194). cDNA structure of the SVA67-lncRNA template can be found in Figure 1a. Plasmid extraction from E.coli was assessed by PCR using the primers found in Supplementary Table S1 in the following reaction and reagents (final concentration): Template DNA (10 ng/μL), KOD hot start buffer (1 × Merck), MgSO4 (1.5 mM, Merck), dNTPs (0.2 mM each), betaine (1 M, Sigma), Primers (0.75 ng/μL each, Sigma), KOD hot start DNA polymerase (0.02 U/µL), made up with nuclease free water to a final volume of 20 µL.
FIGURE 1

SVA67-IncRNA structure and schematic representation of the location of SVA_67. (a) Structure of entire SVA67-IncRNA cDNA Template, including the SVA_67 (IMAGE clone 4151959, GenBank reference BC011194). Structure of Plasmid template used for transfection in this study. Total length is 1842bp. (b) Schematic modified from UCSC genome browser hg38 and Frohlich et al. [16] of the MAPT locus on chromosome 17 showing the location of SVA_67 and the SVA67-IncRNA.
For transfection, 60,000 SH-SY5Y cells were provided by the Motor Neuron Disease group at the Perron Institute of Neurological and Translational Science from the American Type Culture Collection (ATCC). SH-SY5Y cells are widely used in neurodegeneration research. They were selected as a model system for this study due to their human neuronal origin, their ability to express the target genes analysed and their ease of transfection capabilities, allowing reliable detection of transcriptional changes. Cells were transfected with the SVA67-lncRNA plasmid in progressive increasing concentrations using Turbofect transfection reagent (Thermo Fisher) according to manufacturer’s instructions and incubated for forty-eight hours at standard growth conditions. To confirm transfection, a PCR was performed using the primers (synthesised by IDT Pty Ltd.) SVA_67_Fw and SVA_67_Rv, lncRNA_SVA_67_Fw1 and lncRNA_SVA_67_Rv1, lncRNA_SVA_67_Fw2 and lncRNA_SVA_67_Rv2 in the following reactions and reagents (final concentration): Template RNA (20 ng), 2x Reaction mix, Primers (10 µM each, IDT), Superscript III RT/platinum taq mix, made up with nuclease free water to a final volume of 12.5 µL. Complete details of primer sequences, expected product size and cycling conditions can be found in Supplementary Tables S1, S2.
qPCR of target gene expression after the addition of SVA67-lncRNA
Quantification of target gene expression was performed using qPCR to assess the effects on expression in response to the introduction of various concentrations of SVA67-lncRNA plasmid. To generate cDNA from generated SH-SY5Y cell lines for qPCR experiments, total RNA was extracted using the PureLink RNA Mini Kit (Thermo Fisher). Extracted RNA then underwent DNase treatment using the TURBO DNA-free Kit (Thermo Fisher) and then the Superscript III Reverse Transcriptase Kit (Thermo Fisher) was used for first-strand cDNA synthesis according to manufacturer’s instructions.
Duplex TaqMan Gene Expression Assays were used for qPCR analysis under the following cycling conditions: 95 °C for 2 min, 95 °C for 20 s, 62 °C for 10 s and 70 °C for 50 s, repeating steps 2–4 39 more times. Two endogenous controls, GAPDH and HPRT1, were used to normalise the expression results and correct for any potential biases caused by RNA input, reverse transcription efficiency, or sample quality. Two biological replicates were analysed with four technical replicates for each gene at each concentration level.
A CFX Opus 384 real-time PCR system (BioRad) was used to analyse gene expression by collecting quantification cycle (Cq) values. Target gene expression was quantified using the 2-delta delta Ct method comparing samples to an empty vector sample. Significance was determined using a one sample t-test generating p-values at either p < 0.05*, p < 0.01** or p < 0.001***.
Results
SVA67-lncRNA introduction into SH-SY5Y cell line
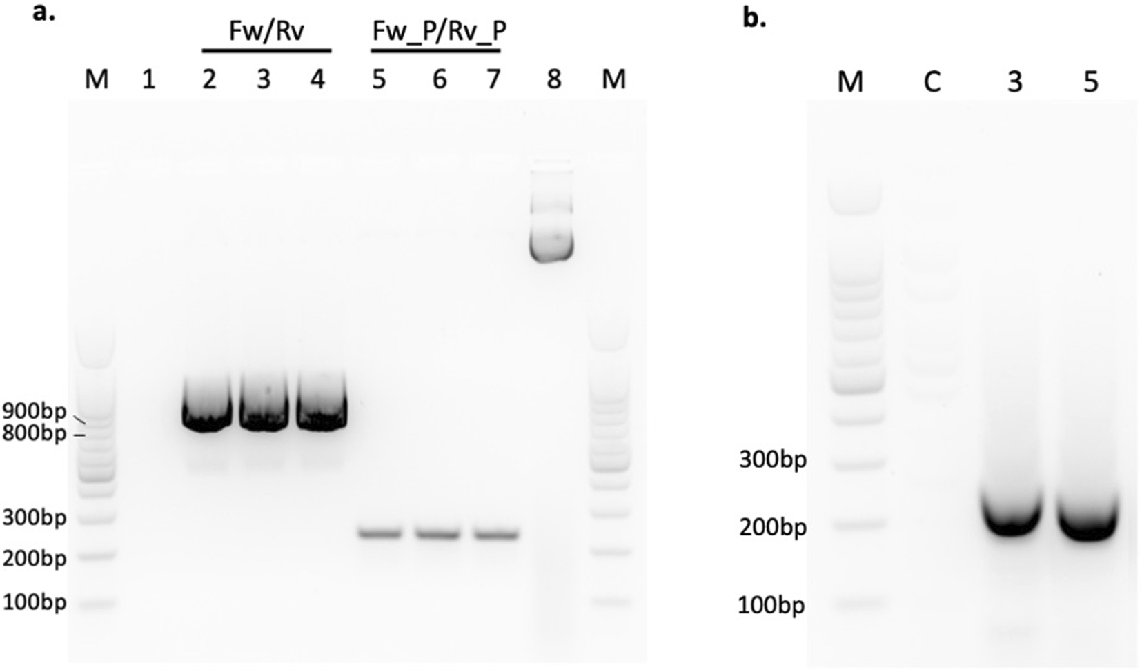
In order to assess the potential regulatory impact of SVA67-lncRNA, several target genes were identified based on presence within the SH-SY5Y cell line and proximity to the SVA_67 gene (Figure 1b). Target genes analysed included MAPT, KANSL1, ARL17A/B, LRRC37A/2 and NSF. Revival of a bacterial plasmid housing the SVA67-lncRNA template was confirmed through PCR where primer pairs Fw/Rv and Fw_P/Rv_P resulted in expected band sizes of 839bp and 210bp respectively (Figure 2a). Another PCR was used to confirm the transfection of SVA67-lncRNA into SH-SY5Y cells where the results show an expected size of 241bp (Figure 2b). The expected 0bp length for control sample “C” was achieved. In total, two clonal SH-SY5Y cell populations were obtained where the SVA67-lncRNA was transfected and analysed using qPCR. Four technical replicates were used for each sample.
FIGURE 2

Preparation of SVA67-IncRNA and confirmation of transfection. (a) Image of amplicons of engineered plasmid after bacterial revival and plasmid extraction. Lane “M” represents a 100bp DNA ladder. Lane 1 represents a negative control. Fw/Rv primers expected length of 839bp was achieved as was the expected length of 210bp for Fw_P/Rv_P primers. The amplicon in lane 8 was the plasmid alone. (b) Image of amplicons to confirm transfection of SVA67-IncRNA into cell line. Lane “M” represents a 100bp DNA ladder. “C” represents an un-transfected sample, “3” and “5” represent the concentration of transfected SVA67-IncRNA (μg). IncRNA_SVA_67 Fw/Rv primers were used with an expected amplicon length of 241bp.
SVA67-lncRNA is significantly associated with differential gene expression
After SVA67-lncRNA was transfected and analysed, the MAPT gene did not show any highly significant values (Figure 3a). Analysis of the KANSL1 gene showed significant downregulation at concentrations 3 μg and 4 µg which indicated a decrease in expression of 0.754x (p < 0.001) and 0.766x (p < 0.001) respectively (Figure 3b). Concentrations of the ARL17A target gene followed an inversely proportional trend where an increase in SVA67-lncRNA concentration correlated with a decrease in gene expression. The most significant fold-change value was obtained at 5 µg which resulted in a fold change of 0.654x (p < 0.001) (Figure 3c). The paralog gene of ARL17A, ARL17B showed a significant decrease in gene expression at concentrations 3 μg and 4 µg which resulted in a fold change result of 0.535x (p < 0.001) and 0.484x (p < 0.001), respectively (Figure 3d). Interestingly, ARL17B had the largest change in gene expression compared to the other target genes within this study with its downregulation of 0.484x. LRRC37A showed a similar trend to ARL17B, where the initial concentrations had little effect. Significant values were obtained at concentrations 3 μg and 4 µg which showed a fold change result of 0.799x (p < 0.001) and 0.781x (p < 0.001), respectively (Figure 3e). The paralog gene to LRRC37A, LRRC37A2 showed a similar trend again to the target genes ARL17B and LRRC37A where significant downregulated gene expression was identified at 3 µg with a fold change of 0.595x (p < 0.001) (Figure 3f). NSF was the only target gene to be upregulated after transfection of SVA67-lncRNA. All concentration levels showed an increase in expression; however, a significant value was obtained at 1 µg which showed a fold change result of 1.23x (p < 0.001) (Figure 3g).
FIGURE 3

Fold change results of each target gene at increasing concentrations of transfect SVA67-IncRNA. Target gene expression results of (a) MAPT (b) KANSL1 (c) ARL17A (d) ARL17B (e) LRRC37A (f) LRRC37A2 (g) NSF are calculated by comparison to an empty vector sample to generate a fold change result. A Welch’s T-test was performed to determine statistical significance. *p < 0.05, **p < 0.01, ***p < 0.001. Raw fold change replicate scores are plotted using a jitter plot.
Discussion
Previous studies have demonstrated associations between the MAPT locus H1 haplotype and PD risk [19, 20], however the specific functional variant remains underdetermined. Prior to this study, our group has shown that the presence or absence of SVA_67, located in the MAPT locus, correlated with the differential gene expression and progression of PD [15, 16]. This study aimed to provide preliminary evidence of transcriptional regulation caused by this SVA67-lncRNA, acknowledging the need for in vivo functional validation. Through the introduction of this SVA67-lncRNA at progressively increasing concentrations the expression of several genes within this target region were altered. Notable results include NSF being the only target gene to be upregulated and ARL17B having the largest change in gene expression with a fold change of 0.48x. This study provides preliminary evidence that SVA67-lncRNA has the ability to cause regulatory gene expression within the MAPT locus. Further studies are required regarding in vivo functional validation and functional assays to potentially link SVA67-lncRNA to the pathophysiological pathways found within neurodegenerative disease progression.
Both KANSL1 and MAPT have been linked to neurodegenerative diseases such as Alzheimer’s disease (AD), Progressive supranuclear palsy (PSP) and PD [21–23]. KANSL1 (KAT8 regulatory NSL complex subunit 1) is part of the NSL complex which assists KAT8 in regulating gene expression, maintaining chromatin regulation and cellular homeostasis. KANSL1 deficiency can lead to lysosomal and autophagic dysfunction as well as increased oxidative stress, all of which are associated with PD [4]. Previous groups have shown a link between the PD risk H1 haplotype and reduced KANSL1 mRNA expression [24–26]. It has also been shown that depletion of KAT8/KANSL1 causes significant downregulation of mitochondrial DNA transcription and translation, which eventually can lead to impaired mitochondrial respiration and oxidative stress [27]. Linda K, et al. [28] recently showed that KANSL1 deficiency leads to impairments in lysosomal function and autophagic flux, which are associated with PD. More recently, Soutar MPM, et al. [24] hypothesised that less severe changes in KAT8/KANSL1 and its associated mitochondrial defects may lead to accumulation of cellular damage. This can result in selective vulnerability of dopaminergic neurons at a later stage in life. Past studies have linked the decrease in gene expression of KANSL1 to many dysfunctional pathways that are associated with PD [26, 29]. We identified in this study that KANSL1 gene expression is downregulated at specific concentrations of SVA67-lncRNA. These findings could potentially associate this SVA67-lncRNA and PD progression, requiring the need for functional assays and validation.
Tau is a microtubule-associated protein encoded by the MAPT gene that has important functions in binding and stabilising the cytoskeleton, regulating cellular transport and interacting with other cellular structures such as cytoplasmic organelles, plasma membrane and the nucleus [30]. Tau is the most commonly deposited protein in the aging brain and in neurodegenerative diseases, including PD [29]. Aggregation of tau is a hallmark of many neurodegenerative diseases (e.g., PD), however there remains the need for clarification and further research to associate the MAPT gene to PD. The results of this study show a slight decrease in expression over several different concentrations when introduced with the SVA67-lncRNA. This highlights a small regulatory effect in relation to the MAPT gene and this complex, however it is difficult to associate this with PD progression due to the low gene expression fold-change and limited current research associating altered MAPT gene expression to PD.
ARL17A and its paralog ARL17B are genes that belong to the sub-family of ADP-ribosylation factor-like (ARF-like) genes, which are part of the ARF family that regulates membrane trafficking and vesicular transport [30]. Tian et al. [31] found that ARL17B was associated with negative control of neuron projection development. Alvarado CX et al. [32] identified several genes to be individually significant in multiple different omics for AD, PD and PSP. These included MAPT, CRHR1, KANSL1 and ARL17A. Finally, a study performed by Jiayang Li et al. [33] using RNA-seq showed that downregulated gene expression in ARL17A, ARL17B and NSF was correlated with PD risk. Results from the current study showed a decrease in gene expression for ARL17A and ARL17B. The former showed several significant decreased fold-change scores, and the latter showed a significant fold-change decrease at concentrations 3 µg (0.54x) and 4 µg (0.48x). Limited work has been accomplished to fully understand the function of the genes ARL17A/B and linking them to disease progression. Our study found that the expression levels of both genes were downregulated at specific concentrations of the transfected SVA67-lncRNA. However, due to the limited research linking ARL17A/B gene expression to PD, it is difficult to directly associate these findings with PD progression. Nevertheless, these results contribute to the growing body of evidence suggesting a potential connection between ARL17A/B and the progression of PD.
LRRC37A and LRRC37A2 encode the proteins Leucine-rich repeat-containing protein 37A and 37A2, respectively. These genes are paralogs of each other and have complex structural variation resulting in difficulty when analysing gene function and association to disease phenotypes. Although little is known about the function of LRRC37A/2, they have been associated with cellular migration and synapse formation [34], and immune and inflammatory response [35]. Shani S, et al. [36] performed whole-genome sequencing on unrelated individuals with PD from an Ashkenazi Jewish population, using brain tissue samples, they performed eQTL analysis and identifying a link between the H2 haplotype and increased LRRC37A/2 RNA expression, pointing to a possible role in PD pathology. Their findings also indicated that LRRC37A2 shows higher expression in both neurons and glial cells compared to LRRC37A, suggesting it may play a more prominent role in disease progression. Conversely, research by Bowles et al. [37] reported that protective H1 sub-haplotypes were associated with elevated LRRC37A/2 expression. Although both studies suggest a relationship between LRRC37A/2 and PD, they associate increased expression with different haplotypes. Our study identified a decrease in gene expression following the introduction of the SVA67-lncRNA at certain concentrations. It is difficult to correlate this finding with an association with PD as current literature is conflicting and minimal. Nevertheless, it was demonstrated that the SVA67-lncRNA effected gene expression of the gene paralogs LRRC37A and LRRC37A2.
The NSF gene encodes the protein N-ethylmaleimide-sensitive factor, a gene associated with ATPase activity essential for driving the disassembly of soluble NSF-attachment protein receptor (SNARE) complexes. This activity is critical for intracellular vesicle transport and intercellular substance transfer. In addition to its role in vesicle trafficking, NSF has been shown to interact with dopamine receptors [38]. Dysfunctional NSF activity has been linked to several neurological disorders, including PD [39], AD [40], and epilepsy [39]. For instance, reduced NSF levels can hinder autophagy, a key process responsible for the removal of cellular waste and the maintenance of cellular homeostasis. Disrupted autophagy can lead to the build-up of pathological proteins, a hallmark of diseases such as PD and AD. Interestingly, patients in early stages of PD have reported elevated NSF gene expression [41]. Although numerous studies have associated NSF with neurological disorders like PD and AD, there is still a shortage of research specifically focusing on variable gene expression. In our study, we observed an increase in gene expression after the SVA67-lncRNA was transfected. However, given the limited existing literature on NSF gene expression effects, it is difficult to correlate this result to a disease phenotype. It is interesting to note that this target gene was the only target gene to be upregulated in response to the SVA67-lncRNA transfection.
The gene-specific differences observed among the target genes of this study suggest that the regulatory influence of SVA67-lncRNA depends on local genomic and epigenetic context. This is consistent with previous studies showing that retrotransposon derived lncRNAs can modulate gene expression through chromatin remodelling and locus-specific interactions [13, 14, 16, 42]. While the trends reported here were consistent across biological replicates, the limited sample size does not rule out subtle experimental variation. Future studies incorporating additional replicates and protein-level validation are needed to confirm these findings. Notably, the MAPT locus is known to exhibit complex epigenetic regulation, including allele-specific methylation and histone modifications that differ between the H1 and H2 haplotypes [19, 20, 43]. These epigenetic features may contribute to the concentration-dependent transcriptional effects observed following the introduction of SVA67-lncRNA. Collectively, these findings indicate that SVA67-lncRNA influences gene expression within the MAPT locus, although further studies are required to determine whether SVA67-lncRNA acts as a cis-regulatory or trans-regulatory element and whether effects are locus-specific and whether they involve epigenetic or chromatin-associated mechanisms.
Conclusion
This study investigated the functional impact of SVA67-lncRNA within the MAPT locus, demonstrating that its introduction alters the expression of target genes, as initially hypothesized. These findings lay the groundwork for future research into the potential role of SVA67-lncRNA in neurological disease progression. Given its broad regulatory influence and limited biological replicates, further investigation is warranted to explore whether this complex exerts similar effects at other loci across the human genome. Correlating results from this study to previous GWAS studies highlight a potential link between this SVA67-lncRNA and PD progression. However, further functional assays and in-vivo validation is required. Further studies could involve a western blot analysis to provide protein-level validation of the transcriptional changes observed in this study. Functional studies should be performed to understand the effect this SVA67-lncRNA has on a phenotypic level. For example, the target gene ARL17B showed a significant down regulation in this study. It would be beneficial to measure if the cells GTPase activity is also affected as this is the main function of this gene and is a contributing mechanism to PD progression. Nevertheless, this study supports the notion that this SVA67-lncRNA has regulatory effects on several genes within the MAPT locus. Moreover, it underscores the broader significance of TEs and lncRNAs in addressing the missing heritability of neurodegenerative diseases. Overall, this research emphasizes the critical need to further explore non-coding genomic elements and their roles in the aetiology of neurodegenerative disorders.
Statements
Data availability statement
The original contributions presented in the study are included in the article/Supplementary Material, further inquiries can be directed to the corresponding author.
Ethics statement
Ethical approval was not required for the studies on humans in accordance with the local legislation and institutional requirements because only commercially available established cell lines were used.
Author contributions
KP wrote the manuscript, performed experiments, and conducted data reconstruction/evaluation. SK conceived of the study, provided funding, and provided thorough technical support. AF provided technical and analytical support. AP provided thorough technical support. All authors contributed to the article and approved the submitted version.
Funding
The authors declare that financial support was received for the research and/or publication of this article. This work was funded by Murdoch University and The Perron Institute of Neurological and Translational Science. The funder was not involved in the study design, collection, analysis, interpretation of data, the writing of this article or the decision to submit it for publication.
Acknowledgments
Denise Howling is acknowledged for assistance in data analysis. Jack Price, Delenn Eddy, Dunhui Li, Jun Yuan, Jun Lu and Bree Bell are acknowledged for assistance in laboratory techniques or equipment handling.
Conflict of interest
The author(s) declared no potential conflicts of interest with respect to the research, authorship, and/or publication of this article.
Generative AI statement
The authors declare that no Generative AI was used in the creation of this manuscript.
Any alternative text (alt text) provided alongside figures in this article has been generated by Frontiers with the support of artificial intelligence and reasonable efforts have been made to ensure accuracy, including review by the authors wherever possible. If you identify any issues, please contact us.
Supplementary material
The Supplementary Material for this article can be found online at: https://www.ebm-journal.org/articles/10.3389/ebm.2025.10805/full#supplementary-material
References
1.
Dorsey ER Bloem BR . The parkinson Pandemic-A call to action. JAMA Neurol (2018) 75(1):9–10. 10.1001/jamaneurol.2017.3299
2.
GBD 2016 Parkinson's Disease Collaborators. Global, regional, and national burden of parkinson's disease, 1990-2016: a systematic analysis for the global burden of disease study 2016. Lancet Neurol (2021) 20(12):e7. 10.1016/S1474-4422(21)00382-3
3.
Emamzadeh FN Surguchov A . Parkinson's disease: biomarkers, treatment, and risk factors. Front Neurosci (2018) 12:612. 10.3389/fnins.2018.00612
4.
Drobny A Boros FA Balta D Prieto Huarcaya S Caylioglu D Qazi N et al Reciprocal effects of alpha-synuclein aggregation and lysosomal homeostasis in synucleinopathy models. Transl Neurodegener (2023) 12(1):31. 10.1186/s40035-023-00363-z
5.
Ganjam GK Bolte K Matschke LA Neitemeier S Dolga AM Höllerhage M et al Mitochondrial damage by α-synuclein causes cell death in human dopaminergic neurons. Cell Death Dis (2019) 10:865. 10.1038/s41419-019-2091-2
6.
Ebanks K Lewis PA Bandopadhyay R . Vesicular dysfunction and the pathogenesis of parkinson's disease: clues from genetic studies. Front Neurosci (2020) 13:1381. 10.3389/fnins.2019.01381
7.
Tran J Anastacio H Bardy C . Genetic predispositions of Parkinson’s disease revealed in patient-derived brain cells. Npj Parkinsons Dis (2020) 6:8. 10.1038/s41531-020-0110-8
8.
Buniello A MacArthur JAL Cerezo M Harris LW Hayhurst J Malangone C et al The NHGRI-EBI GWAS catalog of published genome-wide association studies, targeted arrays and summary statistics 2019. Nucleic Acids Res (2019) 47(D1):D1005–D1012. 10.1093/nar/gky1120
9.
Aleknonytė-Resch M Trinh J Leonard H Delcambre S Leitão E Lai D et al Genome-wide case-only analysis of gene-gene interactions with known parkinson's disease risk variants reveals link between LRRK2 and SYT10. NPJ Parkinsons Dis (2023) 9(1):102. 10.1038/s41531-023-00550-9
10.
Yu WJ Cheng L Li NN Wang L Tan EK Peng R . Interaction between SNCA, LRRK2 and GAK increases susceptibility to parkinson's disease in a Chinese population. eNeurologicalSci (2015) 1(1):3–6. 10.1016/j.ensci.2015.08.001
11.
Nalls MA Blauwendraat C Vallerga CL Heilbron K Bandres-Ciga S Chang D et al Identification of novel risk loci, causal insights, and heritable risk for parkinson's disease: a meta-analysis of genome-wide association studies. The Lancet Neurol (2019) 18(12):1091–102. 10.1016/S1474-4422(19)30320-5
12.
Kim JJ Vitale D Otani DV Lian MM Heilbron K Aslibekyan S et al Multi-ancestry genome-wide association meta-analysis of parkinson's disease. Nat Genet (2024) 56(1):27–36. 10.1038/s41588-023-01584-8
13.
Lawson HA Liang Y Wang T . Transposable elements in Mammalian chromatin organization. Nat Rev Genet (2023) 24:712–23. 10.1038/s41576-023-00609-6
14.
Gianfrancesco O Geary B Savage AL Billingsley KJ Bubb VJ Quinn JP . The role of SINE-VNTR-Alu (SVA) retrotransposons in shaping the human genome. Int J Mol Sci (2019) 20(23):5977. 10.3390/ijms20235977
15.
Pfaff AL Bubb VJ Quinn JP Koks S . Reference SVA insertion polymorphisms are associated with parkinson's disease progression and differential gene expression. NPJ Parkinsons Dis (2021) 7(1):44. 10.1038/s41531-021-00189-4
16.
Fröhlich A Hughes LS Middlehurst B Pfaff AL Bubb VJ Koks S et al CRISPR deletion of a SINE-VNTR-Alu (SVA_67) retrotransposon demonstrates its ability to differentially modulate gene expression at the MAPT locus. Front Neurol (2023) 14:1273036. 10.3389/fneur.2023.1273036
17.
Frohlich A Pfaff AL Bubb VJ Koks S Quinn JP . Characterisation of the function of a SINE-VNTR-Alu retrotransposon to modulate isoform expression at the MAPT locus. Front Mol Neurosci (2022) 15:815695. 10.3389/fnmol.2022.815695
18.
Wider C Vilariño-Güell C Jasinska-Myga B Heckman MG Soto-Ortolaza AI Cobb SA et al Association of the MAPT locus with parkinson's disease. Eur J Neurol (2010) 17(3):483–6. 10.1111/j.1468-1331.2009.02847.x
19.
Desikan RS Schork AJ Wang Y Witoelar A Sharma M McEvoy LK et al Genetic overlap between Alzheimer’s disease and Parkinson’s disease at the MAPT locus. Mol Psychiatry (2015) 20(12):1588–95. 10.1038/mp.2015.6
20.
Bowles KR Pugh DA Liu Y Patel T Renton AE Bandres-Ciga S et al 17q21.31 sub-haplotypes underlying H1-associated risk for parkinson's disease are associated with LRRC37A/2 expression in astrocytes. Mol Neurodegeneration (2022) 17(1):48. 10.1186/s13024-022-00551-x
21.
Müller U Höglinger G Dickson DW . Multifactorial etiology of progressive supranuclear palsy (PSP): the genetic component. Acta Neuropathol (2025) 149(1):58. 10.1007/s00401-025-02898-z
22.
Wainberg M Andrews SJ Tripathy SJ . Shared genetic risk loci between alzheimer's disease and related dementias, parkinson's disease, and amyotrophic lateral sclerosis. Alzheimer's Res & Ther (2023) 15(1):113. 10.1186/s13195-023-01244-3
23.
NCBI. KANSL1 KAT8 regulatory NSL complex subunit 1 (Homo sapiens) gene ID: 284058. (2025).
24.
Ferrari R Wang Y Vandrovcova J Guelfi S Witeolar A Karch CM et al Genetic architecture of sporadic frontotemporal dementia and overlap with Alzheimer’s and Parkinson’s diseases. J Neurol Neurosurg Psychiatry (2017) 88:152–64. 10.1136/jnnp-2016-314411
25.
Koks S Pfaff AL Bubb VJ Quinn JP . Transcript variants of genes involved in neurodegeneration are differentially regulated by the APOE and MAPT haplotypes. Genes (2021) 12:423. 10.3390/genes12030423
26.
Soutar MPM Melandri D O’Callaghan B Annuario E Monaghan AE Welsh NJ et al Regulation of mitophagy by the NSL complex underlies genetic risk for parkinson's disease at 16q11.2 and MAPT H1 loci. Brain (2022) 145(12):4349–67. 10.1093/brain/awac325
27.
Chatterjee A Seyfferth J Lucci J Gilsbach R Preissl S Böttinger L et al MOF acetyl transferase regulates transcription and respiration in mitochondria. Cell (2016) 167:722–38.e23. 10.1016/j.cell.2016.09.052
28.
Linda K Lewerissa EI Verboven AHA Gabriele M Frega M Klein Gunnewiek TM et al Imbalanced autophagy causes synaptic deficits in a human model for neurodevelopmental disorders. Autophagy (2021) 18(2):423–42. 10.1080/15548627.2021.1936777
29.
Hicks AR Reynolds RH O’Callaghan B García-Ruiz S Gil-Martínez AL Botía J et al The non-specific lethal complex regulates genes and pathways genetically linked to parkinson's disease. Brain (2023) 146(12):4974–87. 10.1093/brain/awad246
30.
Pan L Meng L He M Zhang Z . Tau in the pathophysiology of parkinson's disease. J Mol Neurosci (2021) 71(11):2179–91. 10.1007/s12031-020-01776-5
31.
Tian Y Ma G Li H Zeng Y Zhou S Wang X et al Shared genetics and comorbid genes of amyotrophic lateral sclerosis and Parkinson’s disease. Movement Disord (2023) 38:1813–21. 10.1002/mds.29572
32.
Alvarado CX Makarious MB Weller CA Vitale D Koretsky MJ Bandres-Ciga S et al omicSynth: an open multi-omic community resource for identifying druggable targets across neurodegenerative diseases. The Am J Hum Genet (2024) 111(1):150–64. 10.1016/j.ajhg.2023.12.006
33.
Li J Amoh BK McCormick E Tarkunde A Zhu KF Perez A et al Integration of transcriptome-wide association study with neuronal dysfunction assays provides functional genomics evidence for parkinson's disease genes. Hum Mol Genet (2023) 32(4):685–95. 10.1093/hmg/ddac230
34.
Giannuzzi G Siswara P Malig M Marques-Bonet T Mullikin JC Ventura M et al Evolutionary dynamism of the primate LRRC37 gene family. Genome Res (2013) 23:46–59. 10.1101/gr.138842.112
35.
Falola MI Wiener HW Wineinger NE Cutter GR Kimberly RP Edberg JC et al Genomic copy number variants: evidence for association with antibody response to anthrax vaccine adsorbed. PLoS ONE (2013) 8:e64813. 10.1371/journal.pone.0064813
36.
Shani S Gana-Weisz M Bar-Shira A Thaler A Gurevich T Mirelman A et al MAPT locus in parkinson's disease patients of Ashkenazi origin: a stratified analysis. Genes (Basel) (2023) 15(1):46. 10.3390/genes15010046
37.
Bao H Das D Courtney NA Jiang Y Briguglio JS Lou X et al Dynamics and number of trans-SNARE complexes determine nascent fusion pore properties. Nature (2018) 554:260–3. 10.1038/nature25481
38.
Belluzzi E Gonnelli A Cirnaru MD Marte A Plotegher N Russo I et al LRRK2 phosphorylates pre-synaptic N-ethylmaleimide sensitive fusion (NSF) protein enhancing its ATPase activity and SNARE complex disassembling rate. Mol Neurodegeneration (2016) 11:1. 10.1186/s13024-015-0066-z
39.
Herold C Bidmon HJ Pannek HW Hans V Gorji A Speckmann EJ et al ATPase N-ethylmaleimide-sensitive fusion protein: a novel key player for causing spontaneous network excitation in human temporal lobe epilepsy. Neuroscience (2018) 371:371–83. 10.1016/j.neuroscience.2017.12.013
40.
Hashimoto S Matsuba Y Kamano N Mihira N Sahara N Takano J et al Tau binding protein CAPON induces tau aggregation and neurodegeneration. Nat Commun (2019) 10:2394. 10.1038/s41467-019-10278-x
41.
Semenova EI Partevian SA Shulskaya MV Rudenok MM Lukashevich MV Baranova NM et al Analysis of ADORA2A, MTA1, PTGDS, PTGS2, NSF, and HNMT gene expression levels in peripheral blood of patients with early stages of parkinson's disease. Biomed Res Int (2023) 2023:9412776. 10.1155/2023/9412776
42.
Nadler MJS Chang W Ozkaynak E Huo Y Nong Y Boillot M et al Hominoid SVA-lncRNA AK057321 targets human-specific SVA retrotransposons in SCN8A and CDK5RAP2 to initiate neuronal maturation. Commun Biol (2023) 6(1):347. 10.1038/s42003-023-04683-8
43.
Zody MC Jiang Z Fung HC Antonacci F Hillier LW Cardone MF et al Evolutionary toggling of the MAPT 17q21.31 inversion region. Nat Genet (2008) 40(9):1076–83. 10.1038/ng.193
Summary
Keywords
SINE-VNTR-Alu 67, LncRNA, MAPT locus, differential gene expression, RT-qPCR
Citation
Piacentini K, Fröhlich A, Pfaff A and Kõks S (2025) Characterisation of the function of a lncRNA containing SINE-VNTR-Alu 67 to regulate the genes at the MAPT locus. Exp. Biol. Med. 250:10805. doi: 10.3389/ebm.2025.10805
Received
01 September 2025
Revised
10 November 2025
Accepted
19 November 2025
Published
27 November 2025
Volume
250 - 2025
Updates
Copyright
© 2025 Piacentini, Fröhlich, Pfaff and Kõks.
This is an open-access article distributed under the terms of the Creative Commons Attribution License (CC BY). The use, distribution or reproduction in other forums is permitted, provided the original author(s) and the copyright owner(s) are credited and that the original publication in this journal is cited, in accordance with accepted academic practice. No use, distribution or reproduction is permitted which does not comply with these terms.
*Correspondence: Kynen Piacentini, 34087507@student.murdoch.edu.au
Disclaimer
All claims expressed in this article are solely those of the authors and do not necessarily represent those of their affiliated organizations, or those of the publisher, the editors and the reviewers. Any product that may be evaluated in this article or claim that may be made by its manufacturer is not guaranteed or endorsed by the publisher.